Recientemente, en redes se ha vuelto viral el caso de un adolescente que llegó de urgencias a un centro médico luego de insertar un cable USB por su uretra y no poder extraerlo después.
Lea también: Creadora de contenido salió a las calles a pedir dinero para operarse los senos
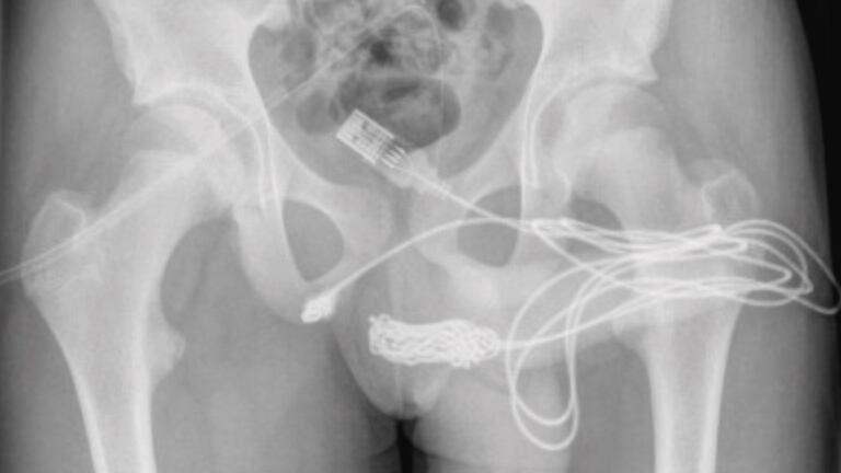
El caso quedó registrado por el portal Science Direct, en el que se explica que un joven de 15 años insertó el objeto de manera voluntaria como una forma de “experimento sexual”, para medir la longitud del miembro por dentro.
Según el reporte, el menor ingresó al hospital junto con su madre, experimentando fuertes dolores y con sangre en su orina. Al parecer, los repetidos y poco exitosos intentos que hizo de remover el cable, terminaron causándole complicaciones.
“Se descubrió que los dos puertos distales del cable USB sobresalían del meato urertal externo, mientras que la parte media del cable anudado permanecía dentro de la uretra”, se lee en el portal, en donde además se resalta que el paciente “era un adolescente sano y en buena forma física, sin antecedentes de trastornos de salud mental”.
También le puede interesar: ¿Quién reemplazó a Juan Diego Alvira en el noticiero de la mañana?
Así, al llegar al lugar, el equipo médico realizó algunos procedimientos para intentar quitar el objeto, pero no resultaron eficaces. Por esto, tuvieron que someterlo a una cirugía y así poder acceder al cable.
Sobre la cirugía, el portal explica que “se realizó una incisión penoescrotal longitudinal sobre el cuerpo extraño palpable y se realizó una disección cuidadosa a través de los tejidos más profundos, dividiendo el músculo bulboesponjoso”.
Finalmente, el joven se recuperó en su totalidad y fue dado de alto dos semanas después, no sin la advertencia de monitorear su estado de salud constantemente, pues insertar objetos por dicho conducto puede acarrear graves consecuencias como dolor o aparición de sangre, entre otras.
