Luego de que se conociera que el lateral de Argentinos Juniors, Luciano Sánchez, será operado por su luxación de rodilla izquierda “dentro de las próximas tres semanas”, según informó este miércoles la entidad de La Paternal en su cuenta oficial de la red social X, el médico de la institución, Alejandro Ronconi también habló del tema y se mostró impresionado.
El jugador “fue dado de alta en el Sanatorio Finochietto”, donde fue internado, tras el duro planchazo recibido del lateral del Fluminense Marcelo Vieira durante el encuentro de ida de octavos de final de la Copa Libertadores.
Le puede interesar: Linda Caicedo se sinceró sobre su estado de salud después del partido contra Marruecos
“La operación se realizará de manera programada dentro de las próximas 3 semanas”, indicó el ‘Bicho’.
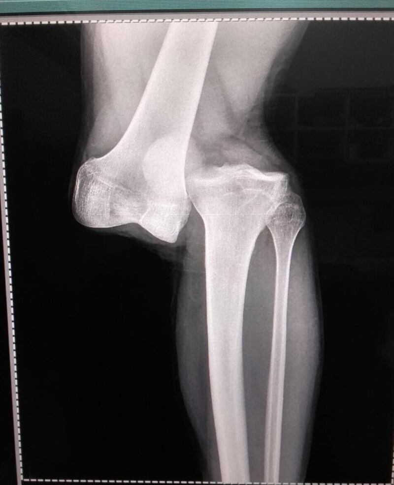
Médico quedó impresionado por la lesión de Luciano Sánchez

“En 23 años como médico nunca vi una lesión así. Es casi una separación del fémur y el peroné. Hay rotura de cruzado, anterior, posterior... Hay que hacer una reconstrucción. La recuperación es de entre 10 y 12 meses”, sentenció el galeno a D Sport Radio.
Adicional, señaló que “hay que hacer una reconstrucción (quirúrgica). La recuperación es de entre 10 y 12 meses”.
Vea también: “No son amigos míos”, Rigo Urán les cobró caro a sus rivales del Tour de Francia
La escena enmudeció el Estadio Diego Armando Maradona, de Buenos Aires, en el minuto 58 del partido que jugaban este martes Argentinos Juniors y Fluminense por el torneo continental.

Marcelo avanzaba con el balón cuando Sánchez salió a su encuentro y el exlateral del Real Madrid protagonizó una desafortunada falta, en la que pisa la pierna de su rival a la altura de la rodilla.
Si bien el VAR ratificó que no hubo intencionalidad en su entrada, el jugador brasileño fue expulsado después de una jugada cuya visión es muy dura, ya que la pierna del argentino se dobla por completo por la articulación como si fuera de goma.
El propio Marcelo, consciente de la gravedad del hecho, rompió a llorar sobre el césped y, después del encuentro, acudió al vestuario local para interesarse por el estado de su rival.
Vea acá: Equipo de la Liga colombiana anunció un inesperado cambio de plaza
“Hoy me ha tocado vivir un momento muy difícil dentro del campo. Sin querer he lesionado a un compañero de profesión. Quiero desearte la mejor recuperación posible, Luciano Sánchez. Toda la fuerza del mundo!”, publicó posteriormente en su cuenta de X el pentacampeón de la Liga de Campeones con el club español.
El partido concluyó con empate 1-1, por lo que el duelo del martes 8, que se jugará en el Estadio de Maracaná, en Río de Janeiro, promete ser muy disputado, considerando la cantidad de rispideces con las que avanzó el segundo tiempo del encuentro de anoche, en el que también fue expulsado (m.75) el portero local, Alexis Martín Arias, por infracción al borde del área
