Una de las zonas del cuerpo a la que más atención y dedicación se le tiene que dar es sin duda alguna la boca, no sólo por un tema de estética o una simple sonrisa, sino también y, especialmente, porque es una de las vías más importantes de entrada de microorganismos al cuerpo.
Una correcta higiene bucal es fundamental para obtener una fortalecida y sana dentadura, pero, sobre todo, que sea agradable para el olfato de los demás. Según la Organización Mundial de la Salud (OMS) las enfermedades bucodentales afectan a casi 3.500 millones de personas en el mundo.

Problemas bucales y Coronavirus
Las estadísticas muestran que más del 80% de todos los pacientes que tuvieron complicaciones por COVID-19 tenían periodontitis. Según informó la revista especializada Journal of Clinical Periodontology, las personas con enfermedades periodontales, si se contagiaron covid, tienen un riesgo tres a cuatro veces mayor de desarrollar cuadros graves de la enfermedad. Y además, advirtieron que la falta de higiene bucal agravó los síntomas del Covid- 19.
La periodontitis es una enfermedad periodontal por falta de cepillado e higiene dental) que se asocia a un mayor riesgo de ingreso en las Unidades de Cuidados Intensivos (UCI), necesidad de ventilación asistida y muerte de los pacientes de COVID-19, así como a un aumento de los niveles sanguíneos de biomarcadores relacionados con peores resultados de la enfermedad.
“Se han publicado numerosos estudios sobre el efecto causal de los patógenos orales en nuestra salud sistémica. La higiene bucal es importante en pacientes con covid debido al microbioma comunitario de la nasofaringe. Al igual que existe un microbioma comunal de la madre al feto, por lo que una buena salud bucal puede prevenir los nacimientos prematuros”, comentó Rhoda Kublickis, de Xlear.

Causas y tratamientos
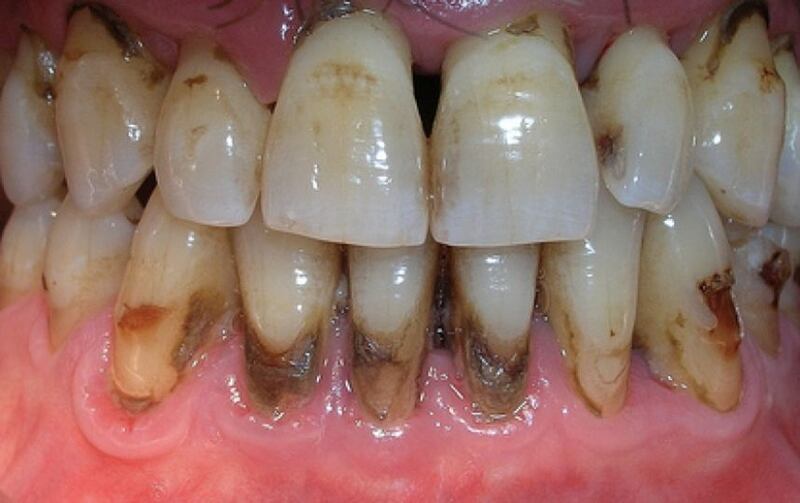
La mala higiene bucal es la gran causante de la gingivitis y ésta se origina por la falta de limpieza: cepillarse los dientes incorrectamente o menos de dos veces al día, no usar hilo dental diariamente ni realizarse controles odontológicos.
De no ser tratada a tiempo esta afección puede provocar afecciones más graves a futuro como periodontitis o piorrea, que es el término informal de la enfermedad. Los síntomas incluyen encías inflamadas, hinchadas, retraídas, sensibles o que sangran con facilidad. En tanto, el tratamiento incluye la limpieza profesional y la enseñanza de la correcta técnica de cepillado, que resulta fundamental para evitar estos diagnósticos.


